咨询热线13616324057
骨密度是被认为评价骨矿物质含量的理想指标,可以间接反映人体钙的状况。骨密度测量就是将人体骨骼的密度通过仪器呈现出来的检查手段,主要的作用和目的就是观察人体骨骼密度

骨密度检测仪可以对骨骼的矿物质状况进行精确、准确的测量、评价,提供完整的骨质疏松诊断设备,是目前最客观、准确检测骨质疏松的检测仪器。

在生活中,人们相信很多人都经历过脚踝扭伤的情况。男孩子喜欢运动,玩的一不小心就会扭伤脚,疼的龇牙咧嘴。运动时,女性穿高跟鞋,一不小心,就会发生脚踝扭伤的现象。脚踝

喝咖啡可能导致缺钙,咖啡是日常生活中很好的饮品,咖啡的含糖量很低,但咖啡中含有咖啡因,咖啡因有刺激交感神经或利尿的作用,能促进循环,利尿。利尿后,血钙会从体内排出

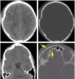
颅骨骨折是指颅骨受到猛烈作用而引起颅骨结构改变,颅骨骨折占颅脑损伤的15% ~ 20%,颅骨骨折是颅内疾病损伤的危险信号。

骨密度测定仪有双能X线的,也有超声的,市面上见得比较多的是超声骨密度测定仪,因为没有辐射,应用范围比较广。

开云官方APP下载 备案号:鲁ICP备16021555号-21